GPP IS A RARE, POTENTIALLY LIFE-THREATENING DISEASE WITH DISTINCT CHARACTERISTICS THAT DIFFER FROM PSORIASIS VULGARIS1–5

What is GPP?

GPP and plaque psoriasis are genetically distinct with different signs and symptoms.3–7

GPP is characterized by innate immune inflammation and is considered a neutrophilic disease, whereas plaque psoriasis is characterized by adaptive immune responses and is considered an autoimmune disease.2,3,8,9

Characteristics of GPP:

GPP is heterogenous and can be a relapsing disease with recurrent flares or a persistent disease with intermittent flares.4,5

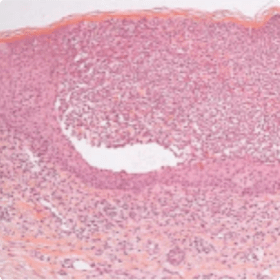
(A) Psoriasis vulgaris characteristically shows acanthosis, parakeratosis, and dermal inflammatory infiltrates.

(A)

(B) In pustular psoriasis, acanthotic changes are accompanied by epidermal predominantly neutrophilic infiltrates, which cause pustule formation.

(B)

(C) Macroscopic features of GPP.

(C)

Figure 1. Microscopic and macroscopic features of GPP. Histopathology of psoriasis. (A) Psoriasis vulgaris characteristically shows acanthosis, parakeratosis, and dermal inflammatory infiltrates. (B) In pustular psoriasis, acanthotic changes are accompanied by epidermal predominantly neutrophilic infiltrates, which cause pustule formation. (Reproduced from “Psoriasis Pathogenesis and Treatment” by Adriana Rendon and Knut Schäkel Int J Mol Sci. 2019; 20:1475; http://dx.Doi.org/10.3390/ijms20061475; licensed under CC-BY 4.0). (C) Macroscopic features of GPP. (Reproduced with permission from DermNet New Zealand Trust, Hamilton, New Zealand.)

An image of skin with a GPP flare up

Image used with permission from Dr. Siew Eng Choon.

Skin signs and symptoms:

Pustules, pain, itching, scaling, rash, inflammation, redness, dryness, burning2,4,5,7,10–12 

Systemic signs and symptoms:

Fever, swelling, malaise, joint pain, fatigue, leukocytosis5,10


What triggers GPP?

GPP can be triggered by:1,5*

Upper respiratory infections
Upper respiratory infections
Certain medications
Certain medications
Sudden withdrawal of steroids
Sudden withdrawal of steroids
Stress
Stress
Infection
Infection
Pregnancy
Pregnancy
Sun exposure
Sun exposure

* Triggers may vary and may not be represented on this list. Some triggers cannot always be identified.

 

What is GPP?

00:00.000 - 00:00.999

[Consultant, speaker, investigator: Abbvie, Lilly, Novartis, Janssen, Regeneron, Sanofi, Sun Pharma, UCB; Consultant, Investigator: Dermira, Arcutis; Investigator: Merck, Pfizer, Sandoz, MC2 Therapeutics, Verrica Pharmaceuticals and consultant: BI, BMS]

00:01.000 - 00:18.000

[Dr. Crowley] This presentation is sponsored by Boehringer Ingelheim Pharmaceuticals, Incorporated, and is not eligible for continuing education credit. I have received fair market value compensation for this presentation. These are my disclosures.         

00:18.031 - 00:36.782

What is GPP? Generalized Pustular Psoriasis, or GPP, is a rare, neutrophilic skin disease characterized by episodes of widespread eruption of sterile, macroscopically visible pustules and erythematous skin that can occur with or without systemic inflammation.

00:37.000 - 00:47.129

The mean age of disease onset is approximately 40 years, and most studies show that the ratio of GPP in females compared to males is close to 2:1.                                                                                                                                                                                                 

00:47.258 - 01:00.690

Numerous GPP triggers have been identified, including upper respiratory infections, sudden withdrawal of steroids, certain medications, stress, infections, exposure to sunlight, and pregnancy.                                                                                                                                   

01:00.836 - 01:17.409

A range of comorbidities have been associated with GPP, including metabolic comorbidities, like hypertension, hyperlipidemia, and diabetes mellitus, hepatic comorbidities, such as fatty liver, and cardiovascular comorbidities, such as ischemic heart disease.

01:18.027 - 01:22.849

The differential diagnosis for GPP can include numerous other pustular skin diseases.                                                                                                                                                                                                                                                                                                                           

01:23.000 - 01:26.489

How does GPP differ from plaque psoriasis?                                                                                                                                                                                                                                                                                                                                                                                                       

01:27.254 - 01:41.871

Clinical manifestations of GPP can vary, but can include both skin symptoms, such as pain, itching and burning, as well as systemic signs and symptoms, like fever, swelling, malaise, joint pain, headache, and leukocytosis.                                                                             

01:42.052 - 01:59.003

GPP also differs from plaque psoriasis in its pathogenesis. GPP is characterized by innate immune inflammation and is considered a neutrophilic disease, whereas plaque psoriasis is characterized by adaptive immune responses and is considered an autoimmune disease.

01:59.432 - 02:13.476

GPP places a burden on patients and can have substantial impact on their social relationships and mental health. Skin scaling, lesions, and constant itch can create social stigma for patients during a flare.                                                                                                        

02:13.947 - 02:18.567

[BI Logo]                                                                                                                                                                                                                                                                                                                                                                                                                                                           

References

  1. Kharawala S, Golembesky AK, Bohn RL, Esser D. Expert Rev Clin Immunol. 2020;16(3):239–52. Doi:10.1080/1744666X.2019.1708193.

  2. Gooderham MJ, Van Voorhees AS, Lebwohl MG. Expert Rev Clin Immunol. 2019;15(9):907–19. Doi:10.1080/1744666X.2019.1648209.

  3. Fujita H, Terui T, Hayama K, et al. J Dermatol. 2018;45:1235–70. 

  4. Navarini AA, Burden AD, Capon F, et al; for the ERASPEN Network. J Eur Acad Dermatol Venereol. 2017;31(11):1792–99. Doi:10.1111/jdv.14386. 

  5. Bachelez H. Acta Derm Venereol. 2020;100(3):adv00034. Doi:10.2340/00015555-3388. 

  6. Merck Manuals Professional Edition. Accessed May 6, 2022. www.merckmanuals.com/professional/multimedia/table/subtypes-of-psoriasis.

  7. Benjegerdes KE, Hyde K, Kivelevitch D, Mansouri B. Psoriasis (Auckl). 2016;6:131–44. Doi:10.2147/PTT.S98954.

  8. Johnston A, Xing X, Wolterink L, et al. J Allergy Clin Immunol. 2017;140(1):109–20. Doi:10.1016/j.jaci.2016.08.056.

  9. Liang Y, Sarkar MK, Tsoi LC, Gudjonsson JE. Curr Opin Immunol. 2017;49:1–8. Doi:10.1016/j.coi.2017.07.007. 

  10. Choon SE, Lai NM, Mohammad NA, Nanu NM, Tey KE, Chew SF. Int J Dermatol. 2014;53(6):676–84. Doi:10.1111/ijd.12070. 

  11. Hideki F, Gooderham M, Romiti R. Am J Clin Dermatol. 2022;23(Suppl 1):S31–8.

  12. Ly K, Beck KM, Smith MP, Thibodeaux Q, Bhutani T. Psoriasis (Auckl). 2019;9:37–42. Doi:10.2147/PTT.S181808.

Member Innovative Medicines Canada, Reviewed by PAAB