Recognizing a GPP flare

GPP FLARES HAVE DISTINCT CHARACTERISTICS1

GPP flares are characterized by episodes of eruptions of pustules that can occur with or without systemic inflammation and with or without plaque psoriasis.

Signs and symptoms include pustules, erythema, and persistent lesions.2–4

Patients may also present with:1,2,4–7

Itching
Itching
Scaling
Scaling
Dryness
Dryness
Fatigue
Fatigue
Swelling
Swelling
Joint pain
Joint pain
High white blood cell count
High white blood cell count
Burning sensation
Burning sensation
Fever
Fever
Discomfort
Discomfort

The trajectory of GPP flares is unpredictable, making it difficult to determine the course of disease8

  • GPP flares can vary among patients and present differently within the same patient.8

  • Previous flare episodes do not indicate the severity or duration of the next GPP flare.8

  • GPP flares may result in serious, systemic complications.3

  • GPP flares can be unpredictable in nature.8

Potential complications associated with GPP 

Potential complications associated with GPP include acute respiratory distress syndrome (ARDS), sepsis, cardiovascular aseptic shock,
high-output cardiac failure, renal failure, neutrophilic cholangitis, metabolic abnormalities, osteoarthritis, and uveitis. The most common causes of death associated with GPP are sepsis, ARDS, and cardiac failure. 2–4,7–9

COMMON SIGNS AND SYMPTOMS OF GPP INCLUDE PUSTULES, ERYTHEMA, AND PERSISTENT LESIONS2–4

GPP skin lesions

Image used with permission from Dr. Siew Eng Choon.

GPP skin lesions

Image used with permission from Dr. Siew Eng Choon.

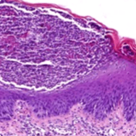
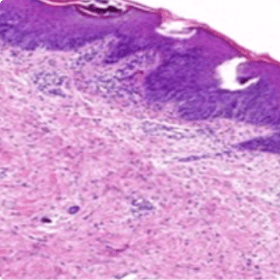
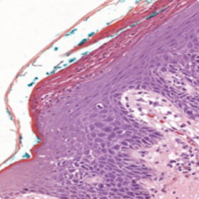
For more atypical presentations of psoriasis, a skin biopsy might be helpful10

An image of munro and kogoj micropustules

Munro and Kogoj micropustules

An image of vascular ectasia spongiform pustules

Vascular ectasia spongiform pustules

An image of prominent neutrophilic infiltrate

Prominent neutrophilic infiltrate 

 

The clinical burden of GPP 

GPP symptoms can escalate and may result in hospitalization and become life-threatening3,5,7,9 

These flares can last from weeks to months and their time to resolution may vary.3,9

GPP symptoms can affect patients’ quality of life3,9

Severe GPP symptoms can severely impair a patient’s quality of life and make it difficult for patients to complete daily activities.9

GPP can have a substantial impact on patients’ social relationships and mental health11

GPP is associated with higher rates of anxiety and depression disorders.12

 

ARDS=acute respiratory distress syndrome.

References

  1. Navarini AA, Burden AD, Capon F, et al; for the ERASPEN Network. J Eur Acad Dermatol Venereol. 2017;31(11):1792–99. Doi:10.1111/jdv.14386. 
  2. Bachelez H. Acta Derm Venereol. 2020;100(3):adv00034. Doi:10.2340/00015555-3388. 
  3. Gooderham MJ, Van Voorhees AS, Lebwohl MG. Expert Rev Clin Immunol. 2019;15(9):907–19. Doi:10.1080/1744666X.2019.1648209. 
  4. Choon SE, Lai NM, Mohammad NA, Nanu NM, Tey KE, Chew SF. Int J Dermatol. 2014;53(6):676–84. Doi:10.1111/ijd.12070. 
  5. Benjegerdes KE, Hyde K, Kivelevitch D, Mansouri B. Psoriasis (Auckl). 2016;6:131–44. Doi:10.2147/PTT.S98954. 
  6. Hideki F, Gooderham M, Romiti R. Am J Clin Dermatol. 2022;23(Suppl 1):S31–8. 
  7. Ly K, Beck KM, Smith MP, Thibodeaux Q, Bhutani T. Psoriasis (Auckl). 2019;9:37–42. Doi:10.2147/PTT.S181808. 
  8. Bachelez H. Br J Dermatol. 2018;178(3):614–18. Doi:10.1111/bjd.16232. 
  9. Kharawala S, Golembesky AK, Bohn RL, Esser D. Expert Rev Clin Immunol. 2020;16(3):239–52. Doi:10.1080/1744666X.2019.1708193. 
  10. Kim WB, Jerome D, Yeung J. Can Fam Physician. 2017;63(4):278–85. 
  11. Sampogna F, Tabolli S, Söderfeldt B, et al. Br J Dermatol. 2006;154(5):844–49. Doi:10.1111/j.1365-2133.2005.07071.x.
  12. Kotowsky N, Gao R, Singer D, Garry E, Golembesky AK. Value in Health. 2020;23(suppl 1):S333–34. Abstract:PRO29. Doi:10.1016/j.jval.2020.04.1257. 
Member Innovative Medicines Canada, Reviewed by PAAB